Odontologia completa e moderna para você

Faixa Container

ESPECIALIDADES

Clique na especialidade que deseja ter maior conhecimento.

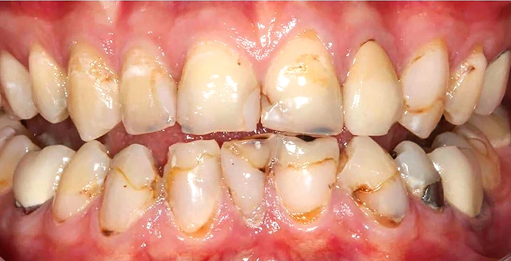
Estética (antes)

Estética (durante)

Estética (depois)

ESTÉTICA

As suas queixas estéticas e o que você espera do tratamento odontológico são a base para fazer um bom planejamento estético dos dentes. Trabalhamos com você para desenvolver um plano de tratamento personalizado que ajudará atingir suas metas de saúde bucal.

Hoje em dia é importante oferecer o que existe de mais moderno na estética odontológica como:

  • Clareamento dental;
  • Escaneamento digital do sorriso DSD (Digital Smile Design). Oferece a melhor estética dental com simulações a partir de uma foto da pessoa.

Fazemos todos tipos de tratamentos estéticos dentários:
Facetas, laminados (lentes de contato dental), fragmentos cerâmicos e restaurações tradicionais com as melhores resinas e porcelanas importadas. Esses tratamentos estéticos são mais conservadores, ou seja, com menos desgaste no dente.