Odontologia completa e moderna para você

Faixa Container

ESPECIALIDADES

Clique na especialidade que deseja ter maior conhecimento.

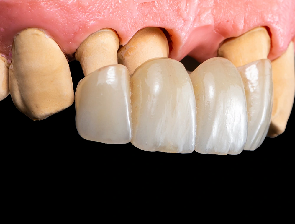
Prótese fixa (antes)

Prótese fixa (depois)

Prótese móvel

PRÓTESE

As próteses dentárias são dispositivos artificiais para restaurar a anatomia de um ou mais dentes perdidos. Geralmente esses pacientes se apresentam com cáries extensas, onde é inviável fazer uma simples restauração, ou doenças periodontais graves que acarretam na perda de 1 ou mais elementos dentários.

As próteses dentárias podem ser:

  • Fixas: sobre dentes (essas são cimentadas nos dentes e não saem), como por exemplo coroas, "bloquinhos" em porcelana = onlay, inlay ou overlay. Pode ser em 1 ou mais dentes;
  • Móveis: como próteses totais (dentaduras) e próteses parciais removíveis.

*Somos especializados em todos os tipos de próteses dentárias desde as mais antigas até as mais modernas.